COPYRIGHTⓒChung Dam Neo plant DENTAL. ALL RIGHT RESERVED.
통증케어 시스템
CHEONG DAM NEO PLANT DENTAL CLINIC
과잉진료없이 자연치아 유지와
보존을 최우선으로 하는 청담네오플란트치과
청담네오플란트치과는 환자분들이 대학병원에 내원하지 않고도 다양한 분야의 치과 치료를
최대한 편하게 제공받으실 수 있도록 분야별 협진을 진행하고 있습니다.
자연치아를 최대한 유지하고 건강한 치아를
보존하기 위해서는, 정확한 진단이 가능하고
개인별로 꼭 필요한 치료만을 진행하는
치과를 선택하는 것이 중요합니다.
청담네오플란트 의료진이 첨단의료장비를 통해
객관적이고 정확한 진단을 거쳐 개인별 꼭 필요한
진료만을 진행하는 믿을 수 있는 치과가 되겠습니다.
CHEONG DAM NEO PLANT DENTAL CLINIC
충치치료
정확한 진단으로 꼭 필요한 충치치료만을 진행합니다
충치치료는 정확하고 객관적인 진단이 가장 중요하며, 충치의 진행단계별로 적합한 치료를 진행해야 합니다.
충치가 있다는 말과 충치치료를 해야한다는 말이 같은 뜻은 아닙니다. 까맣게 보인다고해서 무조건 제거하고 떼워야하는 것은 아닙니다.
초기 충치의 경우 충치를 제거하기보다 그 충치가 더 진행되지 않게 예방하는 것이 더 중요하며, 이는 자연치아를 최대한 보존하고 불필요한 치료를 방지하는 방법입니다. 이를 위해서는 객관적이고 정확하게 충치의 단계를 진단하는 것이 필수적입니다.
청담네오플란트에서는 전문의료진들이 첨단 의료장비와 객관적인 시각자료를 통해 충치의 단계를 정확하게 진단하여 환자분들께 자세한 설명을 드린 후 단계 별로 꼭 필요한 치료만을 진행하고 있습니다.
법랑질 충치
치아는 자각증상이 없을 수도 있음.
이 시기의 충치는 반드시 제거해야할 필요는 없으며 정기적 관찰과 예방 및 비침습적인 치료를 통해 충치의 진행단계를 늦추거나 멈출 수 있음.
치료방법 예방치료인 실란트, 불소도포, 정기검진
상아질 충치
찬 공기나 물에 닿을 때나 양치시
자각증상이 있을 수 있으며, 치아가 음푹 패이거나 삭을 수 있음. 치료하지 않으면 충치의 진행이 빨라질 수 있음.
치료방법 레진 충전, 인레이 등 수복치료
치수염 충치
밤에 잠을 이루지 못할 정도로 아프거나 찬 것과 뜨거운 것에 통증이 있을 수 있으며, 도중에 나은 것처럼 증상이 없어지는 경우도 있음. 치아의 경조직 뿐 아니라 치수까지 염증이 생긴 상태.
치료방법 신경치료, 크라운 등 보철치료
CHEONG DAM NEO PLANT DENTAL CLINIC
신경치료
자연치아를 살라기 위한 가장 기본적이고 중요한 치료입니다
치아 외상이나 충격, 깊은 충치 등의 이유로 치아 내부의 신경과 세포 조직에 염증이 생겼을 경우, 이 를 제거하고 소독하여 생체친화적인 특수 재료로 신경관을 충전해 치아의 기능을 유지할 수 있는 중요한 치료입니다.
사람마다 치아의 모양이나 치아 내부 신경관의 모양도 다 다릅니다.
3차원적인 신경관 내부를 치아 밖에서 도달하여 뿌리 끝까지 정밀하고 정확하게 치료해야 하는 신경치료는 가장 기본적인 자연치아 살리기 치료이자 고난이도 치료입니다.
치아신경 염증
충치가 심해져 치아 뿌리까지 신경 염증이 발생함
신경소독
충치를 제거하고, 치아 뿌리 끝까지 신경관 내부의 염증 물질들을 제거하고 소독함
신경치료 완료
소독된 신경관을 생체친화적인 재료로 충전한 후 보철치료를 함
CHEONG DAM NEO PLANT DENTAL CLINIC
보철치료
치아의 기능과 심미성을 회복하기 위한 중요한 치료로 정확한 치료계획이 중요합니다
남아있는 자연치아 보호하기
금이 갔거나 심한 충치로 인해 상실 또는 손상된 치아를 견고하고 심미적인 보철물을 통해 그 기능과 심미성을 회복하여 자연치아를
더 오래 쓸 수 있도록 하는 보철치료는 개인별 상황에 따른 맞춤치료가 중요합니다. 청담네오플란트치과 의료진들이
정확하게 개인별 맞춤 치료계획을 수립하여 남아있는 자연치아들이 상실된 기능을 회복하고, 주변치아들의 치아질환 예방 및
전체적인 심미성까지도 고려하여 보철치료를 진행하고 있습니다.
인레이(Inlay)
충치나 치아의 손상이 비교적 크지 않을 때, 제한적으로 충치를 제거하고 부분적으로 본을 떠 그 형태에 맞는 보철물을 제작한 후 떼워주는 치료
크라운(Crown)
손상된 치아의 면적이 넓을 때 치아를 보호하기 위해 치아의 머리 부분을 보철물로 '씌워주는' 치료
브릿지(Bridge)
상실된 치아 양 옆의 치아를 이용하여 다리를 걸 듯 이어주는 방식으로 상실된 치아 부분의 기능을 회복할 수 있는 치료
틀니(Dentures)
상실된 치아가 많을 경우 남아있는 잇몸을 덮어서 잇몸이 치아의 기능을 어느정도 대신할 수 있도록 하는 치료
CHEONG DAM NEO PLANT DENTAL CLINIC
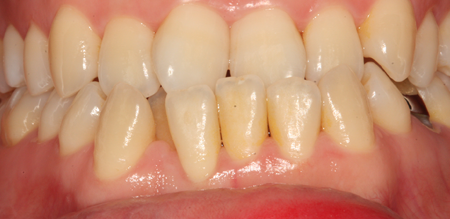
치주치료
청담네오플란트는 치주치료를 통하여 치아를 살릴 수 있는 기회를 놓치지 않습니다.
치의학박사, 전문의 대표원장
치주염(잇몸병)은 치아에 붙어있는 치석 및 세균 등에 의한 염증반응으로 잇몸뼈가 상실되는 질환을 말합니다.
초기에는 잇몸이 붓거나 잇몸에서 피가 나는 증상이 나타나며 계속 방치하면 치아를 발치해야 할 수도 있습니다.
치주치료는 이러한 치석 및 세균 등을 제거하여 잇몸뼈를 안정된 상태로 유지하는 시술을 말하며, 청담네오플란트에서는 치의학박사 / 전문의가 직접 시술하고 있습니다.
치주질환 자가진단방법
아래의 증상들이 반복되어 나타난다면 내원하셔서 진단 및 치료를 진행하시길 권장합니다
01양치질을 할 때 시리거나 잇몸에서 피가 나는 경우
02피가 나는 잇몸부위가 찬물을 마실 때 시린 경우
03잇몸에서 고름이 나오는 경우
04치석과 치태가 많이 보이고 양치질로도 깨끗해지지 않는 경우
05입에서 구취가 나는 경우
06이와 이 사이가 벌어져 음식물이 자주 끼는 경우
07잇몸이 주기적으로 붓는 경우
08단단한 음식을 씹을 때 치아가 힘없는 느낌이 드는 경우
치주염 단계별 증상
건강한 상태
치아 주위의 잇몸이 핑크색을 띄며, 잇몸에서 피가 나지 않음.
스케일링을 6개월 ~ 1년 주기로 받고 올바른 칫솔질로 건강한 치주 조직을 유지
치은염 (초기~중기)
치아 주위의 잇몸이 붉게 부어 있으며, 칫솔질 등을 할 때 피가 남.
스케일링 주기의 조절이 필요할 수 있으며, 올바른 칫솔질을 시행하여야 함.
치주염 (중기~말기)
주기적으로 잇몸이 붓고 피가 나며, 욱씬하거나 우리한 통증이 나타남.
치주치료 및 정도에 따라 치주수술(잇몸수술)이 필요함. 향후 관리 정도에 따라 3~6개월 간격으로 내원하여 유지치료를 시행하여야 함.
치주염 (말기)
잇몸이 항상 부어 있으며, 이가
흔들리는 정도가 점점 심해짐.
치주치료가 필요하며, 정도에 따라 치아를 발치하여야 할 수 있음.
치주치료 전후사진
B
A
CHEONG DAM NEO PLANT DENTAL CLINIC
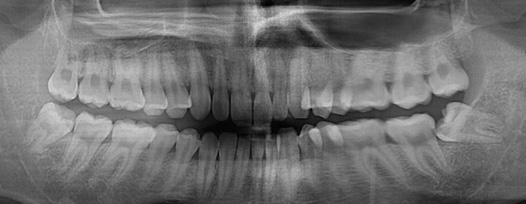
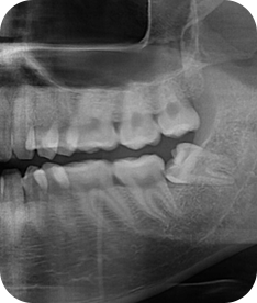
사랑니 발치
최소통증으로, 편안하게!
왜 청담네오플란트에서 사랑니를 뽑아야 할까요?
청담네오플란트는 3D CT 촬영 후 전문의료진들의 정확한 분석으로 안전하게 사랑니를 발치합니다.
매복 사랑니 발치 이젠 두려워하지 마세요!
사랑니를 뽑아야 하는 경우
통증이 없고 관리만 잘 된다면 무조건 사랑니 발치를 할 필요는 없습니다. 하지만 아래의 해당사항이 있는 경우 발치를 권장합니다.
01사랑니 또는 사랑니 앞의 어금니에 충치가 생긴 경우
02사랑니 주위의 잇몸이 주기적으로 붓고 통증이 생기는 경우
03사랑니 주위 잇몸뼈의 손상이 심한 경우
04돌출된 앞니의심미 보철을 위한 경우
05치아를 씌우기 위해 많이 깎아야 하는 경우
06과거의 신경치료가 실패하여 염증이나 통증이 재발한 경우
청담네오플란트치과 사랑니 발치 프로세스
01. CT 촬영
안전하고 통증을 최소화한 발치를 위해 3차원 정밀 분석을 합니다.
02. 정확한 분석
사랑니의 크기와 방향, 깊이, 뿌리 상태 등과 구강검진을 실시합니다.
03. 발치 전 상담
발치 후 주의사항 및 증상, 예후관리에 대한 자세한 상담을 진행합니다.
04. 발치 전 마취
발치 전 2단계 무통마취로 발치시 통증을 최소화하고 안전한 발치가 가능합니다.
CHEONG DAM NEO PLANT DENTAL CLINIC
턱관절 치료
턱관절 치료는 치과에서 하는 것입니다
턱관절 장애란 귀 바로 앞에 위치한 턱관절에 문제가 발생하여 저작, 발음, 연하 등의 정상적인 기능이 잘 되지 않는 질환을 말합니다.
입을 벌리거나 다물 때 통증이나 불편감이 있거나, 귀 앞의 턱관절에서 소리가 나는 경우 혹은 음식물을 씹거나 하품을 할 때처럼
턱관절을 움직일 때 통증이 있다면 턱관절 장애를 의심해보아야 합니다.
턱관절질환의 원인
정신적 원인
지속적인 긴장, 집중, 스트레스
물리적 원인
외상이나 악습관 (턱괴기, 편측 저작 등)
신체적 원인
교합 불균형 및 불안정, 류마티스성 관절염 등
턱관절질환은 정확한 분석과 진단을 통해 원인을 파악하여, 그 원인을 제거하는 것이 중요합니다.
이에 따라 교합안정장치(스플린트), 약물치료 및 의료진의 악습관 개선 교육이 필요합니다.
청담네오플란트환자별 책임의료진
청담네오플란트 전문의료진은 치의학박사, 전문의가
직접진료하며 환자 한분한분을 1:1 주치의 시스템으로
정성스럽게 진료합니다. 환자분들의 편안한 진료를 위해
최선을 다하겠습니다.
청담네오플란트 치과에서는합리적인 가격으로
치료 받으실 수 있습니다.
청담네오플란트 치과는 가격으로만 경쟁하지 않고, 좋은 재료와 수준 높은 진료를 합리적인 가격으로
제공받으실 수 있도록 노력하겠습니다.
청담네오플란트 치과는새로운 인테리어로
여러분을 모십니다.
호텔같은 1인 진료실을 통해 고객 한분한분을
정성스럽게 모시도록 하겠습니다. 청담네오플란트에서
호텔과 같은 편안한 진료를 받으시길 바랍니다.